NOS SERVICES
Examen dentaire
Remplissages
dentiers
la détection précoce
Les examens de la première dent de lait créent la confiance et un lien, ce qui constitue la base d'une expérience positive chez le dentiste. En plus des dents et des gencives, nous examinons également la muqueuse buccale de l'ensemble de la cavité buccale afin d'identifier et de traiter les changements défavorables en temps utile.
Se brosser les dents est l'une des premières actions qu'un enfant effectue de manière autonome et qui sert à garder son propre corps en bonne santé. Nous essayons toujours de motiver nos patients et de les soutenir dans l'établissement de conditions saines dans leur cavité buccale.
Nettoyage professionnel des dents
La priorité absolue ici est de garder toutes les structures buccales en bonne santé.
Cela a un effet bénéfique non seulement localement mais également sur tout l'organisme.
Cela réduit le risque de développer des maladies cardiovasculaires telles que les accidents vasculaires cérébraux et les crises cardiaques.
Après le retrait du tartre, qui peut être fait à l'aide d'instruments manuels ou d'appareils à ultrasons, les dents sont polies. En fonction de la sensibilité des dents et des souhaits du patient, cela peut également être fait à l'aide d'un dispositif à jet d'eau en poudre. Dans le cadre du traitement, l'hygiène bucco-dentaire à domicile est optimisée individuellement.
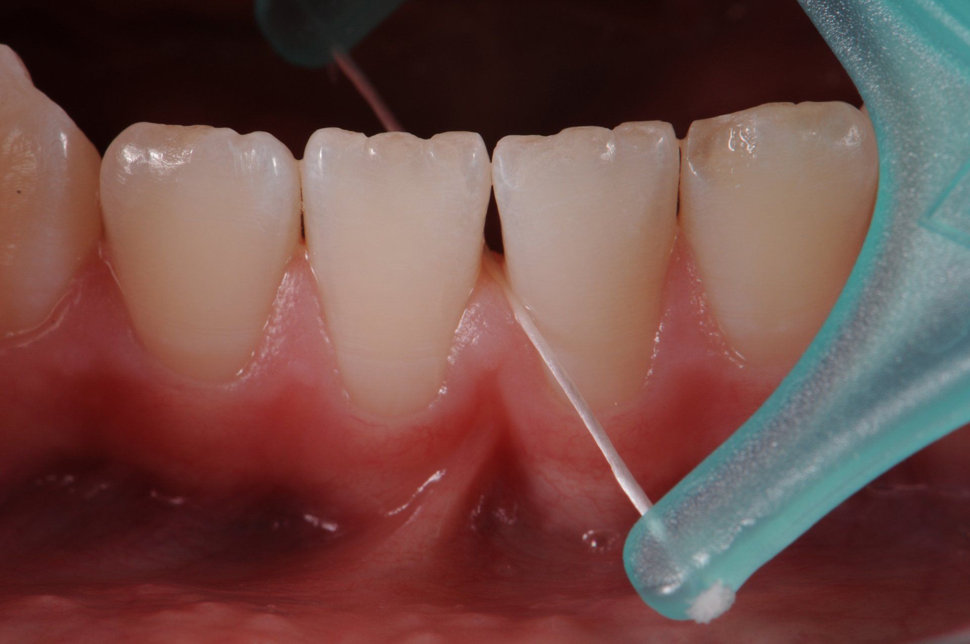
Thérapie parodontale
La parodontite, anciennement connue sous le nom de maladie parodontale, est une inflammation bactérienne de la structure de support des dents.
L'évolution de la maladie commence généralement insidieusement et, si elle n'est pas traitée, peut conduire à la perte des os et donc du relâchement à la perte des dents.
Il est donc important d'identifier les premiers signes et d'agir en conséquence. La racine de la dent est généralement retirée des concrétions - le tartre profond - sous anesthésie locale et la surface de la racine est lissée afin que les gencives puissent à nouveau reposer sur la surface de la racine de la dent sans inflammation.
Traitement familial
Qu'ils soient jeunes ou vieux, les portes de notre cabinet sont ouvertes à tous. Que ce soit le scellement des dents de lait ou l'adaptation d'une prothèse, nous nous occupons des problèmes dentaires à chaque étape de la vie.
Thérapie fonctionnelle / attelles de meulage
Les symptômes des muscles masticateurs et de l'articulation temporo-mandibulaire nécessitent une thérapie fonctionnelle. Cela a lieu après un diagnostic détaillé et une auto-observation du patient.
À cette fin, une attelle en plastique est souvent fabriquée que le patient peut utiliser indépendamment. L'attelle empêche le contact direct entre les rangées de dents et détend ainsi la musculature masticatoire et le tissu associé et protège la substance dentaire. En parallèle, des mesures de physiothérapie sont souvent indiquées.
Attelles de ronflement
Une raison courante du ronflement nocturne est avant tout le repositionnement de la mâchoire inférieure. La langue retombe dans la gorge, resserre les voies respiratoires et provoque le bruit de ronflement typique.
Les attelles de ronflement se composent de deux attelles en plastique séparées pour la mâchoire supérieure et inférieure, qui sont reliées l'une à l'autre via un élément fixe. Cela tire la mâchoire inférieure vers l'avant avec une légère tension et tend un peu les muscles. En conséquence, la langue ne s'enfonce plus dans la gorge.
Esthétique - facettes
La nature nous offre déjà les plus beaux modèles de forme et de couleur. Dans cet esprit, nous élaborons la meilleure esthétique possible pour chaque traitement individuel.
Si les dents sont sollicitées par de nombreuses années d'utilisation et ne sont plus dans leur forme d'origine, les facettes offrent une solution visuellement sophistiquée.
Les facettes sont des facettes en céramique ultra-minces qui sont fixées sur les surfaces extérieures des dents et ajoutent au manque d'harmonie de l'arcade dentaire ou créent une apparence complètement nouvelle.
Blanchiment
Si les dents sont décolorées à cause de la nourriture ou des produits de luxe comme le café ou de la prise de médicaments même après un nettoyage professionnel des dents, elles peuvent être éclaircies par le blanchiment.
Les pigments de couleur foncée sont éclaircis avec une substance spéciale contenant du peroxyde d'hydrogène. Cela peut se faire à l'aide d'attelles et d'un gel blanchissant à domicile ou dans notre cabinet en plusieurs séances.
Correction minimale des dents mal alignées
À l'aide d'attelles transparentes, il est possible de corriger les désalignements minimaux des dents.
En fonction du degré d'expression, ceci est réalisé grâce à de petites surfaces en plastique sur les surfaces externes des dents et / ou par ce que l'on appelle une réduction de l'émail approximale. La couche d'émail externe est peu enlevée dans les espaces interdentaires afin qu'il y ait plus d'espace et, surtout, les dents emboîtées peuvent être remises en place.
La condition préalable de base pour cela est que le parodonte soit exempt d'inflammation.
Scanner Intraoraler
La dentisterie moderne remplace de plus en plus les empreintes analogiques par des processus de numérisation numérique. La prise d'empreinte intra-orale est une option agréable, en particulier pour les patients qui n'aiment pas particulièrement les empreintes régulières. Les dents sont scannées et les données enregistrées sont transmises numériquement pour un traitement ultérieur.
Couronnes individuelles en une seule séance
Immédiatement après la prise d'empreinte numérique, les couronnes, les incrustations et les onlays sont conçus à l'aide d'un logiciel et produits dans notre rectifieuse.
La peinture individuelle ultérieure de la prothèse dentaire pour correspondre aux dents voisines et une cuisson de glaçage ultérieure signifie que les soins personnels sont créés en très peu de temps.
Cela peut être utilisé le même jour - il n'y a pas de rendez-vous supplémentaire qui devrait être ponté de manière conventionnelle avec une prothèse provisoire.
Cela peut également empêcher une deuxième anesthésie.
Un petit rendez-vous de contrôle, comme pour la production conventionnelle, devrait avoir lieu environ une semaine après le traitement.
Fournitures d'implants
Les prothèses prothétiques sur implants - appelées superstructures - sont des couronnes, des ponts ou des prothèses dentaires ancrées sur des implants.
Celles-ci sont divisées en deux parties et sont constituées, d'une part, du pilier (ici blanc), qui est en céramique ou en titane et est vissé dans l'implant. D'autre part, ils se composent de la couronne / bridge respectif - qui sont fixés avec du ciment ou également vissés.
Les restaurations implantaires offrent une bonne alternative à la perte individuelle des dents. Souvent, les dents voisines sont meulées inutilement afin de combler l'écart avec un bridge. Cela ne doit plus être fait à l'aide d'un implant dans l'espace, les dents voisines sont épargnées.
Même si toutes les dents sont perdues, les restaurations implantaires offrent une bien meilleure tenue qu'une prothèse conventionnelle.
Microscope
Une aide grossissante correspondante peut être utilisée pendant la procédure pour un traitement moderne et, surtout, sûr. Cela permet de travailler de manière plus mini-invasive et donc douce, optimisant ainsi la préservation des dents.
Gestion de la douleur
En cas de douleur aiguë, le traitement approprié pour le soulagement de la douleur est initié après des diagnostics détaillés et divers tests.
Par la suite, une thérapie plus approfondie est discutée et, si nécessaire, recommandée aux principaux spécialistes dans leur domaine pour des soins définitifs.
Réseau interdisciplinaire
Une coopération étroite avec des pratiques de pointe dans les domaines de l'implantologie, du traitement de canal radiculaire, de la chirurgie buccale et maxillo-faciale, de l'orthodontie, de la parodontie, de la thérapie fonctionnelle, de la dentisterie infantile et de la technologie dentaire est importante. Cela garantit une qualité de traitement optimale au plus haut niveau dans tous les domaines de la dentisterie moderne. La coopération de confiance à long terme basée sur une communication étroite dans ce réseau collégial permet d'analyser chaque cas en détail, d'envisager diverses options thérapeutiques et de permettre au patient d'utiliser toutes les variantes d'une solution.












